Skip to main content
Submission

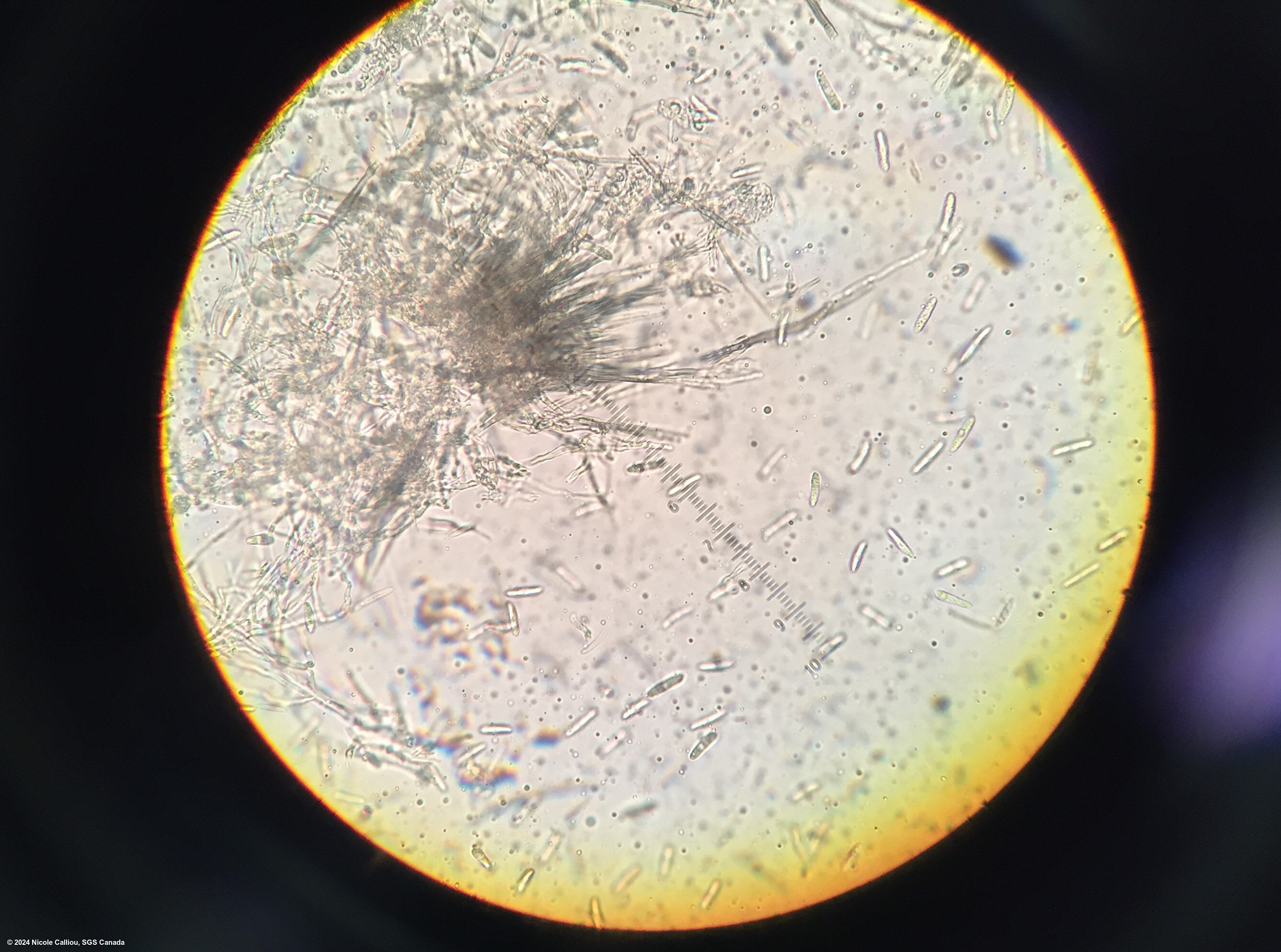
Colletotrichum lentis on Lens culinaris

  • Credits / Owner: Nicole Calliou, SGS Canada
  • Submission date: 2024-07-30 16:22:03
  • Submission ID: #94

Pathogen

Scientific name

Colletotrichum lentis

Genus

Colletotrichum lentis

EPPO code

COLLLN

Common name

Anthracnose

Synonyms

Colletotrichum truncatum

Crop

Lens culinaris

More about Colletotrichum lentis

Submission

Description

Pinkish orange slow growing colony with acervuli producing black setae.


Sterilant: 1% NaOCl
Sterilant time: 4 min
Growth time: 7 days
Lighting: 3:1 (fluorescent:nUV), within 60cm of light. Alternating light/dark in 12 hr intervals
Agar: PDA
Agar brand: Neogen
Sample origin: Canada