Skip to main content
Submission

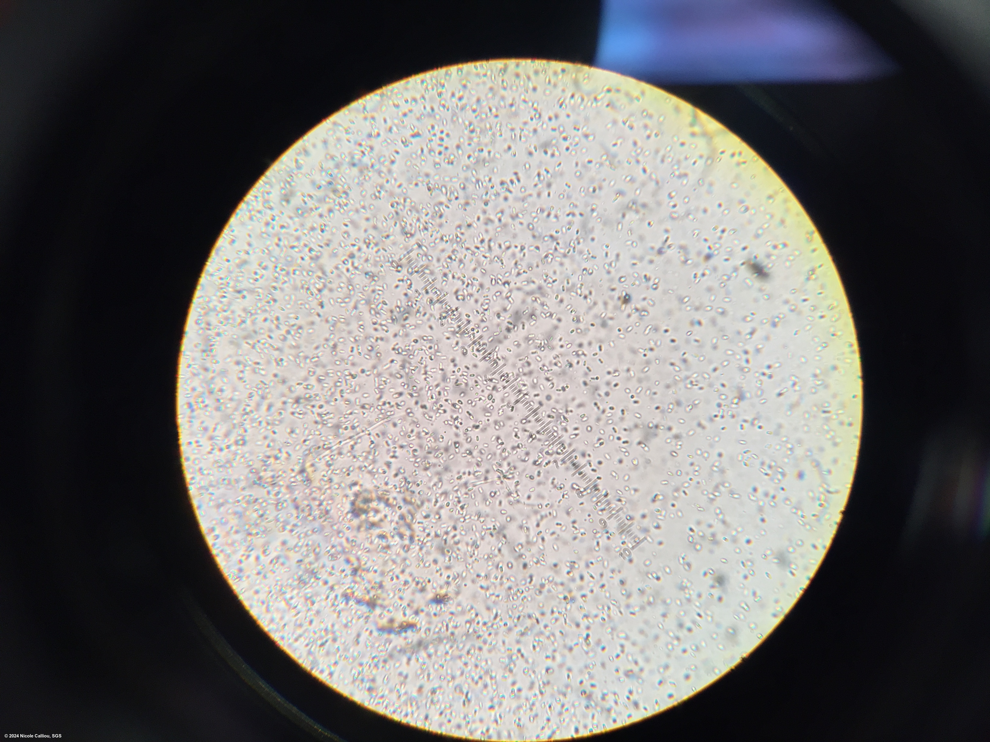
Plenodomus biglobosus on Brassica spp.

  • Credits / Owner: Nicole Calliou, SGS
  • Submission date: 2024-06-27 17:01:06
  • Submission ID: #12

Pathogen

Scientific name

Plenodomus biglobosus

Genus

Plenodomus

EPPO code

LEPTBG

Common name

Avirulent or weakly virulent Blackleg

Synonyms

Leptosphaeria biglobosa

Crop

Brassica spp.

More about Plenodomus biglobosus

Submission

Description

Loose growing silver white mycelium and pycnidia primordia of Leptosphaeria on seed and substrate. Pycnidia are relatively large, about 250 um, with papilla, sometimes developed as a neck and often has purple (amethyst) exudate.


Sterilant: None
Sterilant time: N/A
Growth time: 7 days
Lighting: 3:1 (fluorescent:nUV), within 60cm of light. Alternating light/dark in 12 hr intervals
Agar: Blotter paper moistened with water
Agar brand: N/A
Sample origin: Canada